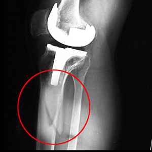
What are Periprosthetic Knee Fractures?
Knee replacement, also called knee arthroplasty, is a surgical procedure in which the worn-out or damaged surfaces of the knee joint are removed and replaced with artificial implants. Any resulting fractures or breaks in the bone around the implant are called periprosthetic knee fractures. These fractures may occur during surgery (intraoperative) or after surgery (postoperative), and usually involve the patella, tibia or the femur (kneecap, shinbone, and thighbone). Women are at higher risk than men.
Risks Factors
Periprosthetic knee fractures may occur due to:
- A fall or trauma
- Rheumatoid arthritis
- Weak bones due to aging
- Excessive use of corticosteroids
- Mechanical stresses caused by the implant
- Neurological problems
- Poor vision or balance
- Revision surgery (replacement of faulty prosthetic parts implanted previously)
Symptoms
You may experience pain and swelling around the knee. Other symptoms include an inability to bear weight and a deformed leg.
Diagnosis
Diagnosis involves a doctor’s examination followed by injury stabilization to prevent further damage. A traction device is used to keep your leg straight. Your doctor orders an X-ray, MRI or CT scan. Blood tests may also be ordered.
Treatment
Non-surgical Method
This involves casting or bracing and is only used for non-displaced fractures.
Surgical Method
Periprosthetic knee fractures are usually treated surgically, under general or regional anesthesia. The presence of multiple bone fragments, bone cement or weak bones increases the complexity of the surgery. The surgical procedure may be either of the following:
- Joint-Revision Surgery: Some cases of periprosthetic knee fracture are caused by a loose implant. Joint-revision involves the removal of the old implant and placement of a new implant with special components to treat the fracture.
- Open Reduction and Internal Fixation (ORIF): Some cases of periprosthetic knee fractures do not require replacement of the implant and the fractured bone fragments are fixed together with the help of screws.
Both types of surgery noted above may include the transplant of bone tissue to fractured or weakened areas - a procedure called bone grafting.
After Surgery
You may have to stay for a few days before discharge from the hospital. Your doctor will prescribe antibiotics to prevent infections and blood-thinning medications to minimize the risk of clots around the surgical area.
A combination of non-steroidal anti-inflammatory drugs (NSAIDs) and opioids may be used to manage pain.
Rehabilitation
Your surgeon may suggest a recovery in a rehabilitation center. Initially, your physical therapist will train you to use walking aids and bear partial weight. You will be allowed to perform specific physical therapy exercises as you heal.





